留言板

尊敬的读者、作者、审稿人, 关于本刊的投稿、审稿、编辑和出版的任何问题, 您可以本页添加留言。我们将尽快给您答复。谢谢您的支持!

姓名
邮箱
手机号码
标题
留言内容
验证码

LAMP耦合荧光侧向流层析试纸条的空间微生物快速检测技术

韩培 侯红渠 樊云龙 王文甲 吕雪飞 张伟 李晓琼

韩培, 侯红渠, 樊云龙, 王文甲, 吕雪飞, 张伟, 李晓琼. LAMP耦合荧光侧向流层析试纸条的空间微生物快速检测技术[J]. 空间科学学报, 2023, 43(2): 302-309. doi: 10.11728/cjss2023.02.211125124
引用本文: 韩培, 侯红渠, 樊云龙, 王文甲, 吕雪飞, 张伟, 李晓琼. LAMP耦合荧光侧向流层析试纸条的空间微生物快速检测技术[J]. 空间科学学报, 2023, 43(2): 302-309. doi: 10.11728/cjss2023.02.211125124
HAN Pei, HOU Hongqu, FAN Yunlong, WANG Wenjia, LÜ Xuefei, ZHANG Wei, LI Xiaoqiong. Space Microbial Detection Method Based on Fluorescent LAMP (in Chinese). Chinese Journal of Space Science, 2023, 43(2): 302-309 doi: 10.11728/cjss2023.02.211125124
Citation: HAN Pei, HOU Hongqu, FAN Yunlong, WANG Wenjia, LÜ Xuefei, ZHANG Wei, LI Xiaoqiong. Space Microbial Detection Method Based on Fluorescent LAMP (in Chinese). Chinese Journal of Space Science, 2023, 43(2): 302-309 doi: 10.11728/cjss2023.02.211125124

LAMP耦合荧光侧向流层析试纸条的空间微生物快速检测技术

doi: 10.11728/cjss2023.02.211125124 cstr: 32142.14.cjss2023.02.211125124
基金项目: 中国科学院空间应用工程与技术中心所长基金课题项目(Y903191)和国防科技战略先导计划项目(20-ZLXD-21-03-02-002-03)共同资助
详细信息
    作者简介:
  • 中图分类号: V524

Space Microbial Detection Method Based on Fluorescent LAMP

  • 摘要: 微生物种类及其含量监测是空间站内微生物控制的重要环节。但是空间环境的微重力条件及对资源的条件限制导致地面常规检测实验难以开展,因此在轨微生物检测主要依靠培养法。基于侧流层析试纸条的生物分子识别检测方法具有不受微重力环境影响的优点,耦合荧光检测方法可以达到较高的检测灵敏度,是在轨微生物检测的潜在方法之一。针对空间环境中对航天员生活环境及仪器仪表设备具有潜在危害的微生物,研究了一种基于环介导等温扩增(LAMP)耦合荧光侧流层析试纸条的微生物核酸鉴别技术。研究结果表明,该技术可实现对大肠杆菌、金黄色葡萄球菌等空间站常见有害微生物的高灵敏、高特异性、快速检测,检测时间小于60 min,灵敏度达到100 copy·μL–1

     

  • 图  1  malB及nuc基因的LAMP扩增荧光曲线

    Figure  1.  LAMP amplification fluorescence curves of malB and nuc genes

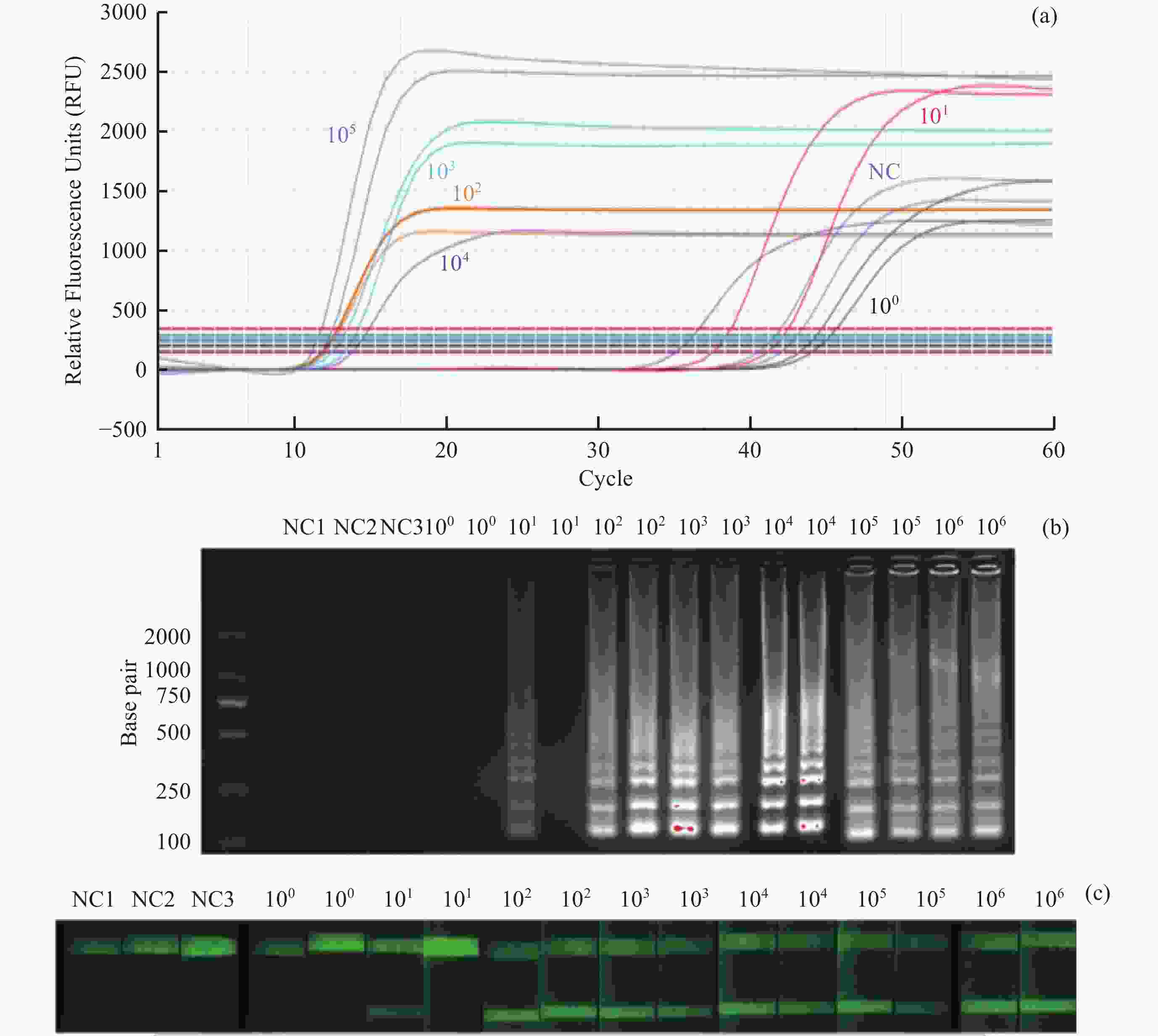
    图  2  偶联后不同浓度样品LAMP扩增曲线(a);偶联后不同浓度样品LAMP扩增产物凝胶电泳成像(b);偶联后不同浓度样品LAMP扩增产物试纸条上样,采用470 nm波段激发后荧光成像结果(c)

    Figure  2.  LAMP amplification curves of samples with different concentrations after coupling (a); Gel electrophoresis imaging of LAMP amplification products of samples with different concentrations after coupling (b); Test strip loading of LAMP amplification products of samples with different concentrations after coupling, fluorescence imaging results after excitation at 470 nm (c)

    图  3  荧光检测光学原理

    Figure  3.  Principle of fluorescence detection

    图  4  荧光检测光学结构

    Figure  4.  Fluorescence detector optical structure

    图  5  荧光检测光学线性曲线

    Figure  5.  Fluorescence linear curve for fluorescence detector

    图  6  荧光检测光学试纸条扫描曲线

    Figure  6.  Fluorescence curve of test strip scanned by fluorescence detector

  • [1] KAWAMURA Y, LI Y, LIU H, et al. Bacterial population in russian space station “Mir”[J]. Microbiology and Immunology, 2001, 45(12): 819-828 doi: 10.1111/j.1348-0421.2001.tb01321.x
    [2] BROCKETT R M, FERGUSON J K, HENNEY M R. Prevalence of fungi during Skylab missions[J]. Applied and Environmental Microbiology, 1978, 36(2): 243-246 doi: 10.1128/aem.36.2.243-246.1978
    [3] SIELAFF A C, URBANIAK C, MOHAN G B M, et al. Characterization of the total and viable bacterial and fungal communities associated with the International Space Station surfaces[J]. Microbiome, 2019, 7(1): 50 doi: 10.1186/s40168-019-0666-x
    [4] 邹士文, 肖葵, 董超芳, 等. 空间站环境控制与生命保障系统微生物腐蚀行为与控制方法[J]. 科技导报, 2013, 31(30): 61-66 doi: 10.3981/j.issn.1000-7857.2013.30.009

    ZOU Shiwen, XIAO Kui, DONG Chaofang, et al. Corrosion behavior and control methods of microbiologically influenced corrosion of Space Station Environmental Control and Life Support System[J]. Science & Technology Review, 2013, 31(30): 61-66 doi: 10.3981/j.issn.1000-7857.2013.30.009
    [5] 白子恒, 肖葵, 颜利丹. 空间站微生物腐蚀研究进展[J]. 中国材料进展, 2018, 37(1): 9-13 doi: 10.7502/j.issn.1674-3962.2018.01.02

    BAI Ziheng, XIAO Kui, YAN Lidan. Recently development of microbial corrosion of space station[J]. Materials China, 2018, 37(1): 9-13 doi: 10.7502/j.issn.1674-3962.2018.01.02
    [6] 唐光泽, 白羽, 马欣新. TiO2光催化材料在未来空间领域的应用[C]//2009年空间环境与材料科学论坛论文集. 北京: 航天器环境工程编辑部, 2009: 178-181

    TANG Guangze, BAI Yu, MA Xinxin. Application of TiO2 photocatalytic materials in the future space field[C]//Forum on Space Environment and Material Science. Beijing: Editorial Department of Spacecraft Environmental Engineering, 2009: 178-181
    [7] YAMAGUCHI N, ROBERTS M, CASTRO S, et al. Microbial monitoring of crewed habitats in space—Current status and future perspectives[J]. Microbes and Environments, 2014, 29(3): 250-260 doi: 10.1264/jsme2.ME14031
    [8] KAROUIA F, PEYVAN K, POHORILLE A. Toward biotechnology in space: high-throughput instruments for in situ biological research beyond Earth[J]. Biotechnology Advances, 2017, 35(7): 905-932 doi: 10.1016/j.biotechadv.2017.04.003
    [9] ABAIBOU H, LASSEUR C, MABILAT C, et al. Current progresses of midass: microbial detection in air system for space[C]//40 th COSPAR Scientific Assembly. Moscow, Russia, 2014
    [10] ADAMSKI M G, GUMANN P, BAIRD A E. A method for quantitative analysis of standard and high-throughput qPCR expression data based on input sample quantity[J]. PLoS One, 2014, 9(8): e103917 doi: 10.1371/journal.pone.0103917
    [11] PARRA M, JUNG J, ALMEIDA E, et al. On-orbit quantitative real-time gene expression analysis using the Wetlab-2 system[C]//Annual Meeting of the American Society for Gravitational and Space Research. Alexandria, 2015
    [12] BURTON A S, STAHL S E, JOHN K K, et al. Off earth identification of bacterial populations using 16 S rDNA nanopore sequencing[J]. Genes, 2020, 11(1): 76 doi: 10.3390/genes11010076
    [13] SUN J D, SUN X L. Recent advances in the construction of DNA nanostructure with signal amplification and ratiometric response for miRNA sensing and imaging[J]. TrAC Trends in Analytical Chemistry, 2020, 127: 115900 doi: 10.1016/j.trac.2020.115900
    [14] JIA H X, LI Z P, LIU C H, et al. Ultrasensitive detection of microRNAs by exponential isothermal amplification[J]. Angewandte Chemie International Edition, 2010, 49(32): 5498-5501 doi: 10.1002/anie.201001375
    [15] ZHANG L R, ZHU G C, ZHANG C Y. Homogeneous and label-free detection of microRNAs using bifunctional strand displacement amplification-mediated hyperbranched rolling circle amplification[J]. Analytical Chemistry, 2014, 86(13): 6703-6709 doi: 10.1021/ac501645x
    [16] MORI Y, NOTOMI T. Loop-mediated isothermal amplification (LAMP): a rapid, accurate, and cost-effective diagnostic method for infectious diseases[J]. Journal of Infection and Chemotherapy, 2009, 15(2): 62-69 doi: 10.1007/s10156-009-0669-9
    [17] GE Z L, LIN M H, WANG P, et al. Hybridization chain reaction amplification of microRNA detection with a tetrahedral DNA nanostructure-based electrochemical biosensor[J]. Analytical Chemistry, 2014, 86(4): 2124-2130 doi: 10.1021/ac4037262
    [18] DONG H F, ZHANG J, JU H X, et al. Highly sensitive multiple microRNA detection based on fluorescence quenching of graphene oxide and isothermal strand-displacement polymerase reaction[J]. Analytical Chemistry, 2012, 84(10): 4587-4593 doi: 10.1021/ac300721u
    [19] YEE E H, SIKES H D. Polymerization-based amplification for target-specific colorimetric detection of amplified Mycobacterium tuberculosis DNA on cellulose[J]. ACS Sensors, 2020, 5(2): 308-312 doi: 10.1021/acssensors.9b02424
    [20] YANG W , DANG X , WANG Q , et al. Rapid Detection of SARS-CoV-2 Using Reverse transcription RT-LAMP method. New York: Cold Spring Harbor Laboratory Press, 2020
    [21] LAMB L E, BARTOLONE S N, WARD E, et al. Rapid detection of novel coronavirus/Severe Acute Respiratory Syndrome Coronavirus 2 (SARS-CoV-2) by reverse transcription-loop-mediated isothermal amplification[J]. PLoS One, 2020, 15(6): e0234682 doi: 10.1371/journal.pone.0234682
    [22] HAGREN V, CONNOLLY L, ELLIOTT C T, et al. Rapid screening method for halofuginone residues in poultry eggs and liver using time-resolved fluorometry combined with the all-in-one dry chemistry assay concept[J]. Analytica Chimica Acta, 2005, 529(1/2): 21-25
    [23] LI Z, CHEN H, WANG P. Lateral flow assay ruler for quantitative and rapid point-of-care testing[J]. Analyst, 2019, 144(10): 3314-3322 doi: 10.1039/C9AN00374F
    [24] POSTHUMA-TRUMPIE G A, KORF J, VAN AMERONGEN A. Lateral flow (immuno)assay: its strengths, weaknesses, opportunities and threats. A literature survey[J]. Analytical and Bioanalytical Chemistry, 2009, 393(2): 569-582 doi: 10.1007/s00216-008-2287-2
    [25] VARONA M, EITZMANN D R, ANDERSON J L. Sequence-specific detection of ORF1 a, BRAF, and ompW DNA sequences with loop mediated isothermal amplification on lateral flow immunoassay strips enabled by molecular beacons[J]. Analytical Chemistry, 2021, 93(9): 4149-4153 doi: 10.1021/acs.analchem.0c05355
    [26] JAWLA J, KUMAR R R, MENDIRATTA S K, et al. Paper-based Loop-mediated isothermal Amplification and Lateral Flow (LAMP-LF) assay for identification of tissues of cattle origin[J]. Analytica Chimica Acta, 2021, 1150: 338220 doi: 10.1016/j.aca.2021.338220
    [27] DU Y, POTHUKUCHY A, GOLLIHAR J D, et al. Coupling sensitive nucleic acid amplification with commercial pregnancy test strips[J]. Angewandte Chemie International Edition, 2017, 56(4): 992-996 doi: 10.1002/anie.201609108
  • 加载中
图(6)
计量
  • 文章访问数:  1083
  • HTML全文浏览量:  585
  • PDF下载量:  57
  • 被引次数: 

    0(来源:Crossref)

    0(来源:其他)

出版历程
  • 收稿日期:  2021-11-24
  • 修回日期:  2022-10-11
  • 网络出版日期:  2023-04-08

目录

    /

    返回文章
    返回